iCare DRSplus
iCare DRSplus
Excellent
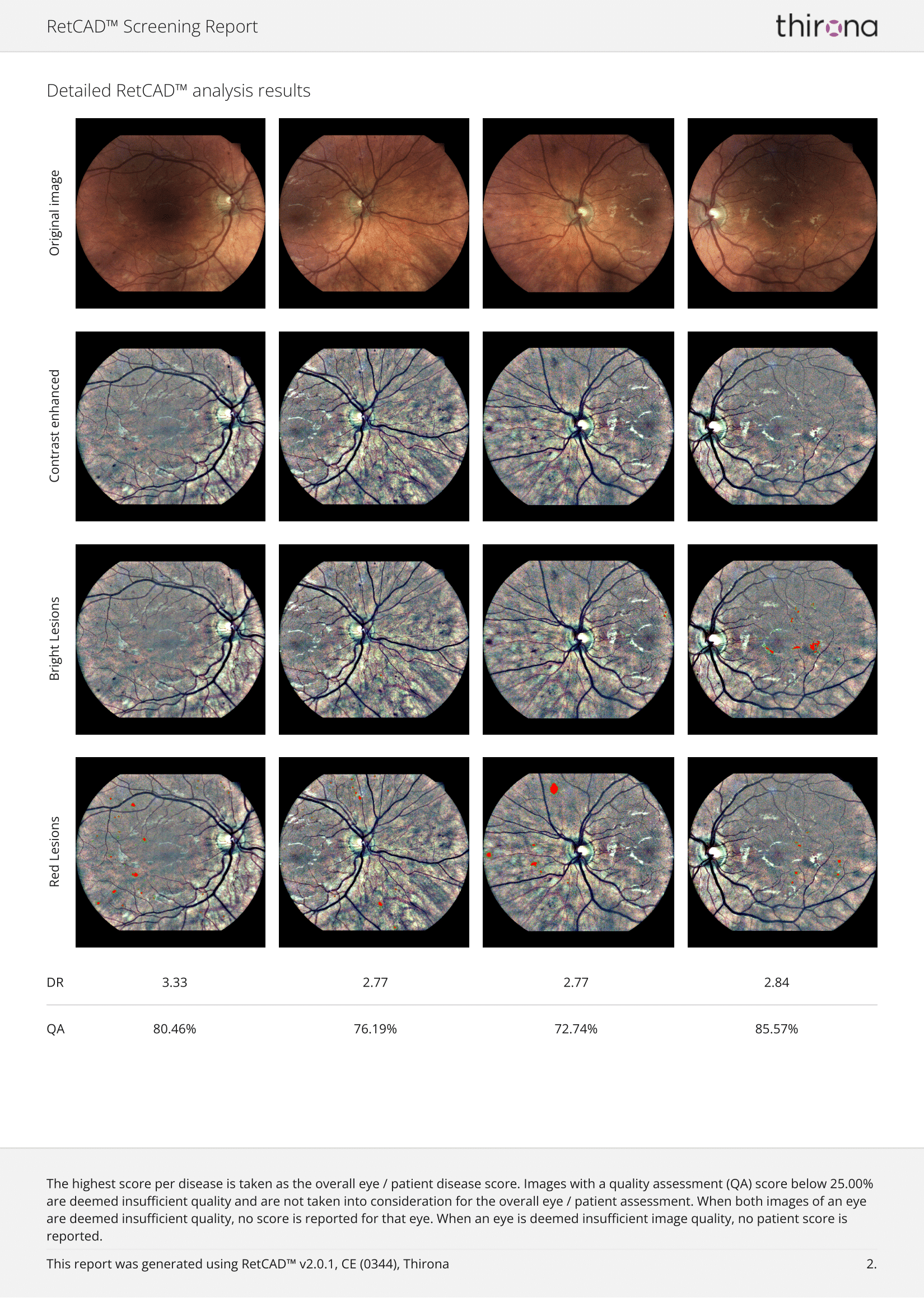
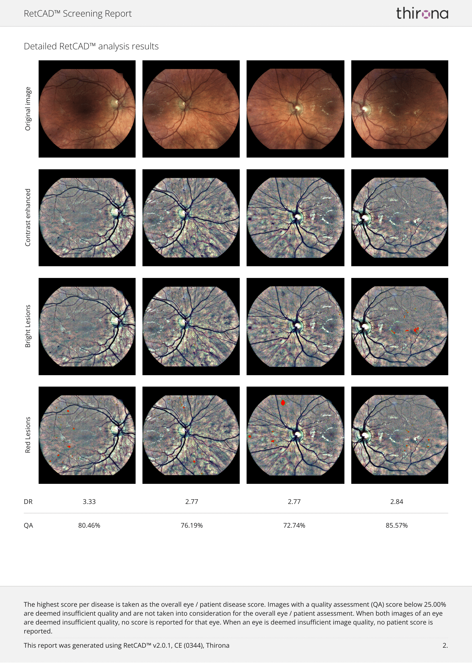
The iCare DRSplus is an advanced confocal fundus imaging system designed to deliver high-quality, TrueColor retinal images with exceptional detail and clarity. Utilizing white LED illumination, it provides 45° field-of-view images and can capture through small pupils (as small as 2.5 mm) without the need for dilation, ensuring a comfortable patient experience. Key features include automated operation for minimal staff training, multiple imaging modalities (TrueColor, Red-free, Blue, Red, External Eye, Stereo View, and Mosaic), and confocal technology for imaging through cataracts. The DRSplus also offers remote viewing and remote exam capabilities, enhancing workflow efficiency. With its compact design, user-friendly interface, and high-resolution imaging, the DRSplus is ideal for diagnosing conditions like diabetic retinopathy, glaucoma, and macular degeneration, while improving patient comfort and clinic productivity.
Couldn't load pickup availability
- Easy Setup
- 24/7 VIP Support


